Notícias
RÁDIO CIÊNCIA
Pesquisa indica que extrato da semente de açaí previne contra o câncer de mama
O potencial de plantas nativas do Maranhão na prevenção e combate de doenças é tema de diversas pesquisas. Destacam-se, entre diversos exemplos, o caso da Melosa como larvicida natural contra o Aedes Aegypti e do Alecrim do Campo no combate à Leishmaniose.
📱Siga o Canal da Universidade FM no WhatsApp👆🏼
A descoberta dessa vez foi a da pesquisa “Análise dos Efeitos do Extrato da Semente do Açaí em Modelos In Vitro e In Vivo de Câncer de Mama”, que é conduzida pela bióloga Laisa Araújo Sousa Wolff, sob orientação do Prof. Dr. do curso de Medicina da Universidade Federal do Maranhão (UFMA), Marcos Antônio Custódio Neto da Silva.
O estudo revela que extratos da semente de açaí tem efeito preventivo contra o câncer de mama. Os resultados mostraram que esse extrato teve efeito de inibição e indução à morte das células de câncer e que pode prevenir o aparecimento do tumor.
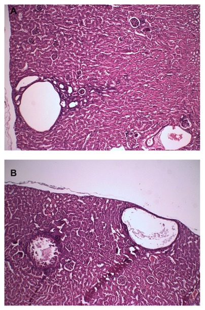
Fotomicrografias de rim apresentando arquiteturas cortical e medular preservadas,
com glomérulos e túbulos viáveis. Observam-se pequenos cistos epiteliais simples
na camada cortical. Não foram observados sinais de neoplasia - H&E x10
Para chegar nessa descoberta, foram adotados dois caminhos: in vitro, com extrato sendo administrado em células fora de um organismo. Já no in vivo, ou seja, experimentação realizada em organismos vivos, o extrato foi administrado em dois grupos de camundongos: preventivo e terapêutico.

Processo de indução do tumor sólido de Erlich em camundongos
“O objetivo é o desenvolvimento de um composto fármaco-ativo derivado do Açaí para seu uso no Câncer de Mamar, que é uma doença muito comum no Maranhão e no Brasil. Trata-se de uma enfermidade muito ligada com hormônios e os nossos estudos observaram um efeito de inibição da ação desses hormônios.” Destaca o Prof. Dr. Marcos Antônio Custódio Neto da Silva.
Com apoio da Fundação de Amparo à Pesquisa e ao Desenvolvimento Científico e Tecnológico do Maranhão (FAPEMA), a pesquisa foi desenvolvida no âmbito do Núcleo de Pesquisa em Imunologia Básica e Aplicada (NIBA) da UFMA.

O Prof. Dr. Marcos Antônio Custódio Neto da Silva e a bióloga Laís Araújo Sousa Wolf integram o Núcleo de Pesquisa em Imunologia Básica e Aplicada-NIBA da UFMA
[Pedro Batista]
Confira!
🌎 | Instagram | CANAL WHATSAPP | X | Spotify | Spotify Playlists |
Deezer | Amazon Music | Apple Podcasts
São Luís – MA
2025